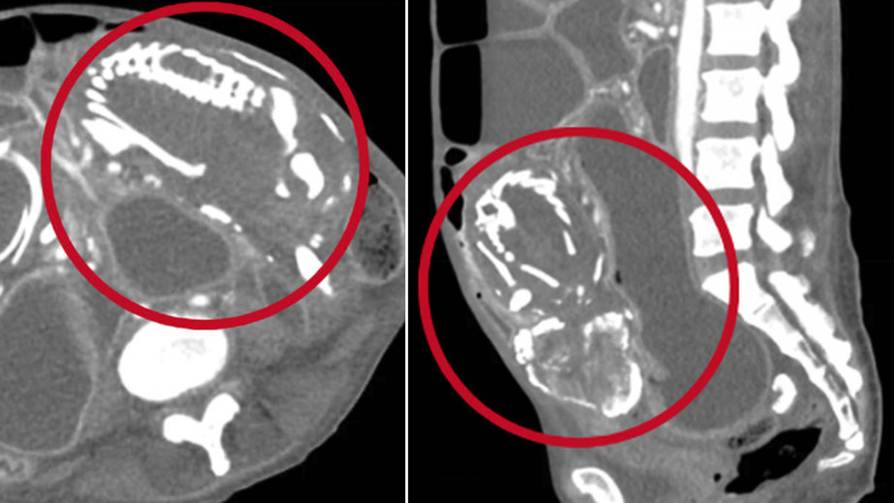
En Nueva York, una mujer de 50 años murió por desnutrición, después médicos se dieron cuenta al realizar varios exámenes que tenía un feto momificado incrustado en su abdomen. Aseguran que llevaba nueve años en su abdomen.
La mujer ya había acudido varias veces al hospital por constantes malestares estomacales, pero ella rechazó los tratamientos médicos, ya que pensaba que los dolores se debían a un “hechizo” que traía desde África.
Según un medio local, el bebé tenía el tamaño de una lechuga, lo que generó una obstrucción en sus intestinos.
Esta obstrucción hizo que sufriera de desnutrición y posteriormente la muerte.

Foto tomada de Twitter @LBCNews
Más noticias Internacionales
Comunicadora Social con énfasis en Transmedia, apasionada por conectar audiencias a través de historias, estratégias y multiformato.
- Compartir:
- Compartir en Facebook
- Compartir en X (Twitter)
- Compartir en WhatsApp
- Comentarios