
Captura tomada de ideasqueayudan
Esta es la historia de una mujer de 36 años que se sonó y terminó en urgencias con la cara fracturada y sin visión.
El caso apareción en BMJ Case Report donde hablaba que una mujer del Reino Unido se había sonado sobre el umbral del dolor conocido.
Parece que la mujer estaba sonándose pero, fue tal la fuerza con la que realizó la acción que le provocó un enfisema orbital, una afección en la que se inyecta aire en los espacios de tejidos blandos y queda atrapado.
La órbita se refiere entonces, al agujero en el cráneo que abarca el ojo.
Después de sonarse, la mujer perdió la visión de sus dos ojos. Tras dos horas, el ojo izquierdo comenzó a hincharse y sangró por la fosa nasal del mismo lado, todo esto, seguido por un dolor insoportable en este lado del rostro, incluyendo la cabeza y el cuello.
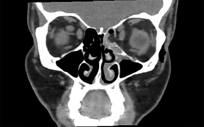
En el hospital por medio de una tomografía, los especialistas descubrieron una fractura en el ojo izquierdo y se pudo ver que el hueso que rodea el ojo izquierdo se había roto.
Los médicos destacaron que la fractura fue limpia y relativamente fácil de tratar. Le recetaron analgésicos y no necesitó cirugía.

Image: Fractura después de sonarse (BMJ Case Reports 2018)
- Compartir:
- Compartir en Facebook
- Compartir en X (Twitter)
- Compartir en WhatsApp
- Comentarios