Menú Últimas noticias
Pico y Placa Medellín Sabado:
Pico y Placa Medellín Sabado:
Minuto30 App

¡Instala nuestra App Web!

Agrega Minuto30 a tu pantalla de inicio para acceder más rápido a las noticias.

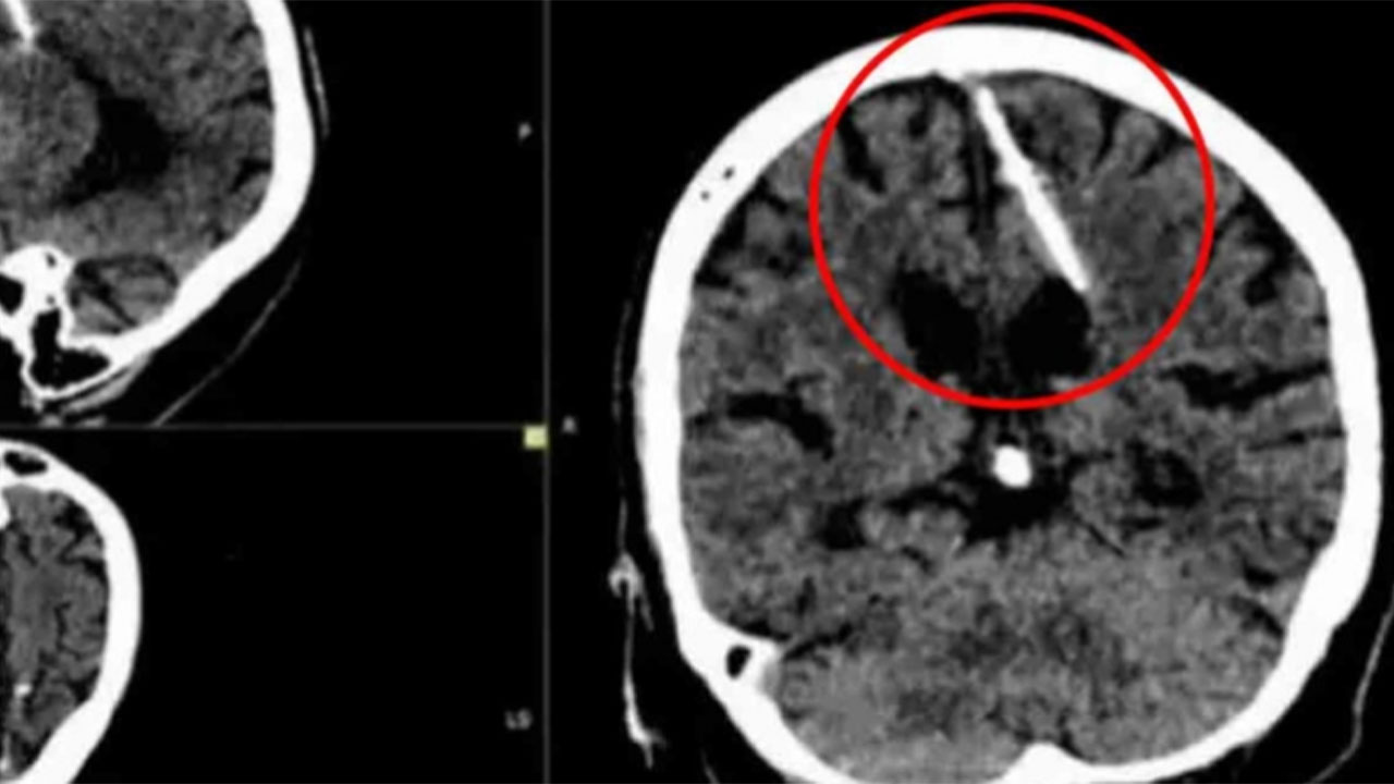
¡Qué locura!: mujer de 80 años descubrió que tiene una aguja en el cerebro desde su infancia

Una mujer de 80 años descubrió que tiene una aguja en su cerebro desde su niñez. Los médicos revelaron la posible causa del hecho.

Publicado por: Melissa Noreña

Hallaron palillos incrustados
Foto de redes sociales/tomada para ilustrar la nota

Una mujer de 80 años acudió a un chequeo médico de rutina y se enteró que tiene una aguja en su cerebro.

El hecho ocurrió en un hospital de Rusia, en donde una radiografía de la mujer de 80 años reveló el peligroso objeto.

Se trata de una aguja de tres centímetros, la cual estaba ubicada en el lóbulo parietal izquierdo de la mujer.

Para su sorpresa, la aguja estuvo en su cerebro desde su infancia, sin embargo, está nunca le ha causado dolor.

Sigue al canal Virales en minuto30 en WhatsApp: https://whatsapp.com/channel/0029VZzQXbfAu3aZ7d6vHA3g

En una hipótesis, los médicos indicaron que la mujer pudo ser utilizada en una práctica que realizaban los padres durante la Segunda Guerra Mundial.

Durante los tiempos de guerra, los padres introducían una aguja en un punto blando del cráneo de los recién nacidos.

Este punto se cerraba y ocultaba la aguja, provocando la muerte del bebé.

Pese a que la aguja ya había sido descubierta, los médicos decidieron no sacarla debido a la avanzada edad de la mujer.

Apuntaron que la aguja no representa un peligro inmediato para su salud, dado que ha vivido con el elemento desde su niñez.

Más noticias de Internacionales

Author Signature
Melissa Noreña

Comunicadora Social con énfasis en Transmedia, apasionada por conectar audiencias a través de historias, estratégias y multiformato.


Anuncio
Minuto30 TV

Fico Gutiérrez muestra imágenes inéditas de los que armaron desmanes en el Atanasio

Comentarios

Valoramos la moderación y el respeto en nuestras conversaciones. Gracias por contribuir a un espacio positivo.