Minuto30.com-. Un ciudadano británico, de 50 años, descubrió que sus frecuentes jaquecas, convulsiones y pérdidas de la memoria se debían a un gusano parásito que vivió en su cerebro durante cuatro años.

Foto: Cortesía
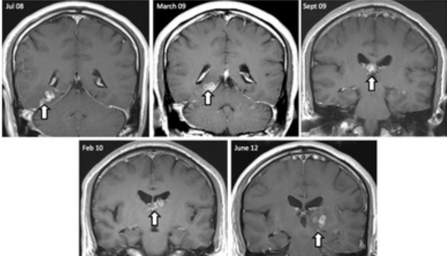
El hombre acudió a los médicos en el año 2008, luego de los síntomas descritos, además porque sintió un “cambio a su sentido del olfato”.
A través de una resonancia magnética se pudo determinar que su cerebro tenía una serie de lesiones. Sin embargo, los médicos desconocían las causas.
Pero durante los siguientes cuatro años se logró ver que las lesiones se desplazaron unos cinco centímetros del hemisferio izquierdo al derecho.
Después de numerosas pruebas y biopsas finalmente, en el año 2012, los médicos encontraron los restos de un gusano de unos 10 centímetros en el cerebro del hombre, quien fue tratado con medicina anti parasítica.
El nombre científico del gusano es spirometra erinaceieuropaei, y solo han sido reportados unos 300 casos de este tipo en todo el mundo desde 1953.
El gusano causa que los tejidos corporales se inflamen, ocasionando los dolores de cabeza, convulsiones y pérdida de memoria.
Una persona puede ser infectada al comer crustáceos infectados, además de carne cruda de reptiles y anfibios. También el usar ranas crudas como cataplasma, un tradicional remedio chino para los ojos irritados.
- Compartir:
- Compartir en Facebook
- Compartir en X (Twitter)
- Compartir en WhatsApp
- Comentarios